开启国产能谱DR新时代,东软医疗「北斗」系列首发上市!
近日,神舟飞船再探苍穹,顺利将三位航天员送上太空。而在医学影像装备领域,东软医疗也再铸新品,向大国创新致敬。


东软医疗高端能谱DR「北斗」系列成功首发
6月6日,东软医疗新一代高端能谱DR「北斗」系列通过云端首发上市。「北斗」是搭载能谱技术的高端双立柱DR,大大提升了普放设备的成像效果和应用范围。这也是东软医疗自2003年推出首台DR以来,在普放领域的又一款革命性产品。

孙钢 教授
中国研究型医院学会
放射学专业委员会主任委员
“东软医疗作为民族品牌,为打破进口垄断做出了突出贡献。「北斗」DR集成多项专利技术,使成像更加清晰、射线剂量更低、临床应用扩展性更强,实现了放射学检查的绿色应用。”

付海鸿 教授
中华医学会影像技术分会前任主任委员
北京协和医院放射科高级工程师
“「北斗」DR是国内首款全自研开发,并实现双能摄影的DR装备,我为民族企业在新技术创新与发展方面的成功感到由衷高兴,期待其为健康中国全民健康战略的实施提供助力。”

武少杰 先生
东软医疗CEO
“东软医疗重磅发布的「北斗」系列新品,是DR行业的又一次革命。我们用能谱重新定义影像、颠覆传统,全面革新临床应用和体验,标志着国产DR从此迈入世界先进行列!”
以能谱 重塑DR
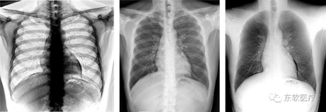
● 双能骨肉分离成像
「北斗」创新的双能成像技术,通过算法对高、低能成像进行重建,获得单纯骨组织和软组织图像,实现“骨肉分离”,有效提升肺部病灶或肋骨骨折等疾病的检出能力。

骨骼图像 | 融合图像 | 软组织图像
● 双能骨密度测量
「北斗」以双能X线吸收测定法为基础,实现精准、便捷的骨密度测量功能,为骨代谢疾病的诊断提供有力佐证。突破传统DR应用边界,充分释放设备价值。



以智慧 超越影像
● 融合优化曝光技术(S.O.E)
通过将平板上的每一个像素点作为获取自动曝光参数的最小单元,提高获取自动曝光参数的精准度和灵敏度。

● 超智能滤线栅技术(S.I.G)
通过多尺度散射核模拟修正方式,大大优化了物理滤线栅造成的剂量增加问题,在获取相同的图像质量下,有效降低了射线剂量。

● 身高智能识别技术
系统对数万张人像进行深度的学习训练,通过人工神经网络计算出人体的分割图像,高精准识别各姿态、各体型人群,计算得出人体胸部摄影所需高度,精准反馈控制设备运动,实现真正“零”接触检查流程。

● 全自动全景智能拼接
系统采用像素级灰度值拟合校正技术,全自动完成全景拼接,图像拼接过程稳定、顺畅、精准,为医院骨科整形及术后效果评估提供重要参考依据。



以使命 变革医疗
● 「北斗」车载DR系列
双螺旋结构加持,确保「北斗」车载DR在颠簸路段及各种场景中稳定运行,让各级医疗机构都能体验到优质影像设备,提升基层防病治病能力,推动优质医疗资源下沉基层。

● 「北斗」动态DR系列
「北斗」动态DR集动/静结合、高帧率采集、全尺寸高清成像、强大硬件支持系统,以及智能超控系统于一身,一机多能,使传统DR功能再度延展。

注:车载DR和动态DR正在申请注册中。

韩东龙 先生
东软医疗高级副总裁兼首席营销运营官
今天对东软医疗DR产品来说,是一个全新的起点。相信「北斗」DR的问世,必将为临床医生带来耳目一新的应用价值和客户体验。
未来,东软医疗将始终以客户为中心,用优异的产品品质、丰富的临床功能、贴心的专业服务回报客户。


